Secretory carcinoma
Secretory carcinoma is a very rare type of breast cancer.[1] Secretory carcinomas generally have favorable prognosis, despite not expressing the estrogen receptor (ER), progesterone receptor or HER2.[1]

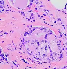
Histopathology of secretory carcinoma, high magnification. H&E stain. It characteristically shows nests of tumor surrounded by stroma, where the nests have microcystic and adenoid structures with eosinophilic secretions.
References
- Aktepe F, Sarsenov D, Özmen V (2016). "Secretory Carcinoma of the Breast". J Breast Health. 12 (4): 174–176. doi:10.5152/bs.2016.3249. PMC 5351444. PMID 28331758.
{{cite journal}}: CS1 maint: multiple names: authors list (link)
This article is issued from Wikipedia. The text is licensed under Creative Commons - Attribution - Sharealike. Additional terms may apply for the media files.