Inverted papilloma
An inverted papilloma, also known as Ringertz tumour,[1] is a type of tumor in which surface epithelial cells grow downward into the underlying supportive tissue. It may occur in the nose and/or sinuses or in the urinary tract (bladder, renal pelvis, ureter, urethra). When it occurs in the nose or sinuses, it may cause symptoms similar to those caused by sinusitis, such as nasal congestion. When it occurs in the urinary tract, it may cause blood in the urine.
| Inverted papilloma | |
|---|---|
| Other names | Ringertz tumour |
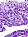
![]() | |
| Micrograph of an inverted papilloma of the urinary bladder. H&E stain. | |
| Specialty | Oncology |
Diagnosis
Inverted papillomas are definitively diagnosed by histologic examination. However, magnetic resonanace imaging (MRI) may show a characteristic feature described as a convoluted cerebriform pattern (CCP). A retrospective study published in the American Journal of Neuroradiology concluded that identification of CCP by MRI in a patient with a nasal tumor made the diagnosis of Inverted papilloma quite likely. The study reported the sensitivity and specificity to be 100% and 87% respectively. CCP can be associated with other malignant tumors as well.[2]
Treatment
Medial maxillectomy is the treatment of choice.
History
Inverted papillomae were first described by Nils Ringertz in 1938.[3] He reported their microscopic appearance and their tendency to grow into the connective tissue stroma.
Additional images
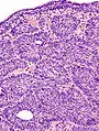
Histopathology representing an inverted papilloma of the urinary bladder that was cystoscopically resected. Hematoxylin and eosion stain.
Histopathology representing an inverted papilloma of the urinary bladder that was cystoscopically resected. Hematoxylin and eosion stain.
Histopathology representing an inverted papilloma of the urinary bladder that was cystoscopically resected. Hematoxylin and eosion stain.
Inverted Schneiderian Papilloma of the Nasal Cavity.
Inverted Schneiderian Papilloma of the Nasal Cavity with Abundant intraepithelial microabscesses.
References
- Hasan, S. A.; Aziz, M.; Faruqi, N. A. (September 9, 1985). "Inverted papilloma of the nose (Ringertz tumour)". Journal of the Indian Medical Association. 83 (9): 316–318. PMID 4086856 – via PubMed.
- Jeon TY, Kim HJ, Chung SK, Dhong HJ, Kim HY, Yim YJ, Kim ST, Jeon P, Kim KH (May 22, 2008). "Sinonasal Inverted Papilloma: Value of Convoluted Cerebriform Pattern on MR Imaging". American Journal of Neuroradiology. 29 (8): 1556–1560. doi:10.3174/ajnr.A1128. PMC 8119066. PMID 18499786.
- Ringertz, Nils (January 9, 1938). Pathology of malignant tumors arising in the nasal and paranasal cavities and maxilla. Mercator. OCLC 257486867.
External links
- Inverted papilloma entry in the public domain NCI Dictionary of Cancer Terms
This article incorporates public domain material from the U.S. National Cancer Institute document: "Dictionary of Cancer Terms".
